Suche
Montag:
08:00 - 17:00
Dienstag:
08:00 - 17:00
Mittwoch:
08:00 - 17:00
Donnerstag:
08:00 - 17:00
Freitag:
08:00 - 16:00
Samstag:
Geschlossen
Sonntag:
Geschlossen
Öffnungszeiten
Anfahrt Dermatologische Privatpraxis

Was erhöht mein Risiko für ein Melanom?

Von Dr. med. Robert Kasten, Hautarzt in Mainz
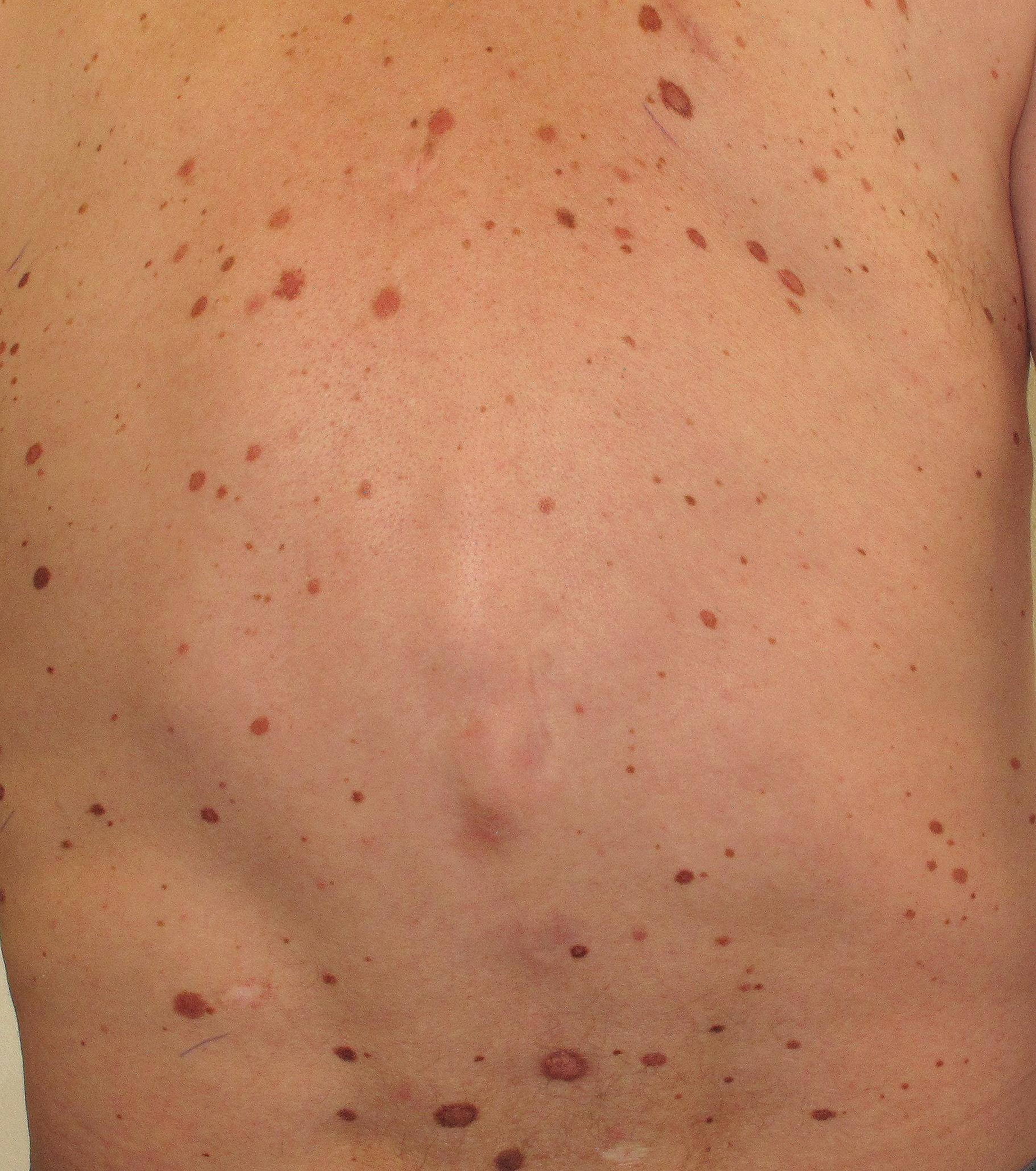
Nävi Nävus entfernen in Mainz
Zahlreiche Pigmentmale am Rücken
© Dr. Robert Kasten
In einer australischen Studie aus diesem Jahr wurde untersucht, was das Risioko erhöht, an einem schwarzen Hautkrebs (Melanom) zu erkranken

Australien ist das Land, in dem der schwarze Hautkrebs am häufigsten auftritt. Bei den 15-44 -Jährigen stellen Melanome die häufigsten bösartigen Tumor dar. Nicht selten ist der schwarze Hautkrebs sogar lebensbedrohlich. Deshalb ist es wichtig zu wissen, wie stark man selbst gefährdet ist. Anhand von Merkmalen kann man zuordnen, ob man zu der Hochrisikogruppe zählt.

Wenn man folgende Zeichen aufweist, erkrankt man häufiger an einem Melanom

  • Zahlreiche Pigmentmale
  • Melanom in der eigenen Vorgeschichte
  • Melanom in der Familie
  • starke Sonnenbelastung

In der australischen Studie fand man bei den Patienten, die Melanome entwickelten zudem diese Merkmale:

  • jüngeres Lebensalter
  • vor allem am Stamm und Beinen oder Armen
  • mehr oberflächliche Melanome (superfizielle spreitende Melanome)
  • seltener Melanome im Gesicht (Lentigo maligna Melanome)
  • seltener dickere Melanome als 1 mm

Wer selbst ein Melanom hatte, kann früher wieder an einem Melanom erkranken, als Patienten, bei denen ein Melanom in der Familie aufgetreten war.

Patienten mit zahlreichen Pigmentmalen erkranken häufiger an einen Melanom an nicht der Sonne ausgesetzten Stellen. Bei dieser Patientengruppe ist der Nutzen einer regelmäßigen Vorsorge besonders hoch.

Das könnte Sie auch interessieren: